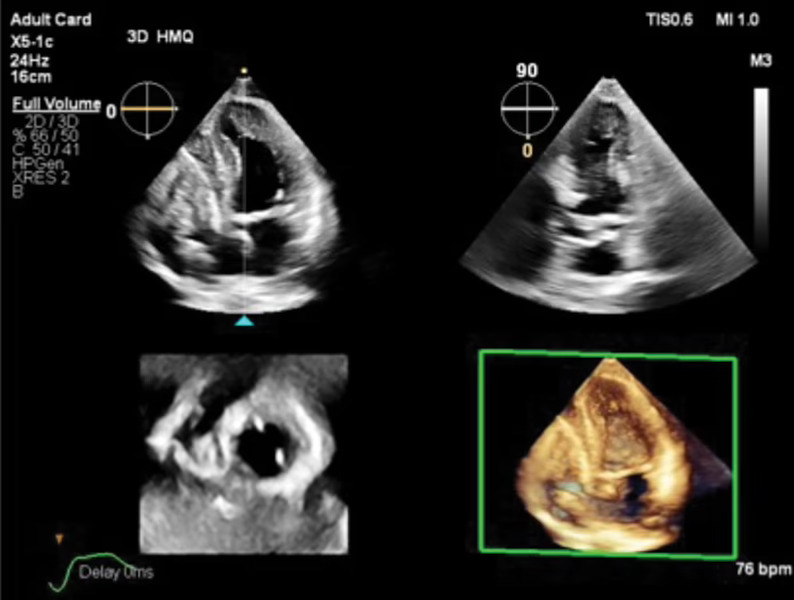
Philips ha presentado Transcend Plus, su nueva generación de sistemas de ultrasonido cardiovascular, en el marco del Congreso CardioTox 2025, celebrado entre el 4 y el 6 de noviembre. La tecnológica impulsa la ecocardiografía con esta nueva actualización para sus modelos EPIQ CVx y Affiniti CVx.
Transcend Plus ofrece avances 2D y 3D y mejora la eficiencia mediante 26 aplicaciones de IA integradas. Su nueva función 2D Auto EF Advanced incrementa las capacidades de análisis automático de la función ventricular izquierda.
El responsable del negocio de ultrasonido de Philips Ibérica, Sergio García, señala la importancia de "combinar la experiencia médica con herramientas impulsadas por IA que aumentan la confianza diagnóstica, aceleran los flujos de trabajo y mejoran la atención personalizada”.

El congreso ha puesto el foco en la importancia que tienen la medicina de precisión, la inteligencia artificial y la imagen avanzada para la transformación del abordaje clínico de los pacientes onco-cardíacos. La directora del curso y jefa de la Unidad de Cardio-Oncología de La Paz, la doctora Teresa López-Fernández, destacaba que "este año contamos con un panel excepcional de expertos que compartirán los últimos avances en cardio-oncología y onco-hematología".







